Occlusion Demystified Program
Understanding Occlusion for Predictable Success
This course is presented in partnership with Utah Valley Dental Lab by Dr. David Hornbrook and Dr. Mark Montgomery. It's designed to equip you with the fundamental knowledge and practical skills needed to achieve predictable, long-lasting results in your dental practice. Understanding occlusion isn't just about preventing failures; it's about building a foundation for comprehensive patient care and maximizing esthetic outcomes.
We delve deep into the mechanics of the masticatory system, exploring how proper occlusal schemes contribute to patient comfort, function, and the longevity of your restorations. This isn't just theory; it's real-world application for real-world dentistry.
Test Your Knowledge
Your Results
- Did reviewing the cases above make you wonder about the patients you saw today?
- Do you have a system for occlusal disease that your whole team understands how to use to diagnose, treat, and present to patients?
- If not, this program is a
3-day investment in
expertise, profitability, and peace of mind.
This Course Is Ideal For
- Those practicing real-world dentistry
- Dentists who desire to improve aesthetics
- Dentists who want to eliminate failures and predictably restore patients in an ideal position
Expand Your Proficiency And Learn
- The science behind tooth contacts and muscle harmony
- The 5 steps to functional success with every patient
- Hands-on clinical records, recording bites, and facebows for case planning
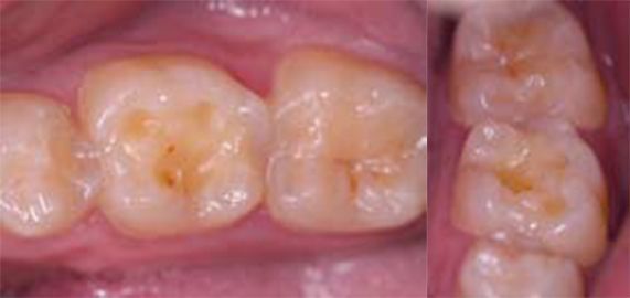
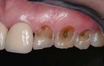
- How to accurately diagnose wear, severe wear, and post-treatment triggers
- Understand the 3 most critical factors in your new patient exam
- Deprogramming methods: when to use and why
- Diagnosing the asymptomatic patient
- How to avoid “red flags” that will compromise the outcome of a case
- How to establish Occlusal Vertical Dimension—when to make changes and why
- Hands-on critical case finishing that will prevent post-treatment challenges
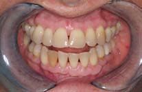
- Successful treatment planning and model evaluation
- Evaluation and deliberate occlusal equilibration—“stop chasing dots”
Master Occlusion and Elevate Patient Care!
Explore Course Details & Secure Your Spot!
Tuition Fees and CE Credit Information
$3,200 per doctor
A portion of tuition for Crown Council members is donated to Smiles for Life! This means your investment also contributes to a great cause, providing smiles to those in need. Participants will receive 20 CE credits, contributing significantly to your continuing education requirements and professional development.
For more information on upcoming courses, please contact Natalie at
natalie@uvdl.com or call
(800) 927-6967.





